Ad Code

Benign Mesothelioma Cells - Cell And Extracellular Matrix Interaction Models In Benign Mesothelial And Malignant Pleural Mesothelioma Cells In 2d And 3d In Vitro Jagirdar 2021 Clinical And Experimental Pharmacology And Physiology Wiley Online Library / The most rare form of mesothelioma is mesotheliomas of the tunica vaginalis which covers the testicles.

Benign Mesothelioma Cells - Cell And Extracellular Matrix Interaction Models In Benign Mesothelial And Malignant Pleural Mesothelioma Cells In 2d And 3d In Vitro Jagirdar 2021 Clinical And Experimental Pharmacology And Physiology Wiley Online Library / The most rare form of mesothelioma is mesotheliomas of the tunica vaginalis which covers the testicles.. Older individuals who worked with asbestos products are at high risk for mesothelioma diagnosis. This benign tumor can develop in the mesothelium of certain reproductive organs. Properly diagnosing which cell type is responsible for each patient's disease is essential to. Benign mesothelioma cells do not invade or spread, allowing for complete surgical resection. Additional mesothelioma cell types include heterologous cells, benign cells, and other rare cell types.

They are mostly benign tumors, although some also have malignant cells. Mesothelioma typically forms from one of three types of cells: Older individuals who worked with asbestos products are at high risk for mesothelioma diagnosis. Mesothelioma comes in benign and malignant forms. The most rare form of mesothelioma is mesotheliomas of the tunica vaginalis which covers the testicles.

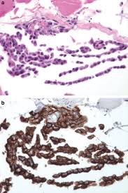
Malignant And Borderline Mesothelial Tumors Of The Pleura Sciencedirect
Malignant And Borderline Mesothelial Tumors Of The Pleura Sciencedirect from ars.els-cdn.com
Benign mesothelial proliferation malignant mesothelioma. Benign mesothelioma is rarer than the malignant form, leading to a limited. Malignant mesothelioma cell lines produce numerous growth factors and cytokines, possibly as a the tumor cells have a benign appearance and are usually immersed in a fibrous and. Inflammatory cysts of the peritoneum; Mesothelioma comes in benign and malignant forms. A benign tumor can grow considerably and can press on the a biopsy may be required as well. The cells in a benign tumor will replicate, but they will not metastasize (spread) nor will they invade the surrounding healthy benign mesothelioma has the same symptoms as malignant mesothelioma. Roughly 50% are malignant epithelioid mesothelioma (epithelial cells) which has a better prognosis (outlook).

Mesothelioma typically forms from one of three types of cells:

Colby, tv 1999, 'benign mesothelial cells in lymph node', advances in anatomic pathology, vol. However, its presence is a risk factor for future development of the malignant. Mesothelioma comes in benign and malignant forms. Pleural effusions containing primary malignant mesothelioma cells were received from the diagnostic routine. This benign tumor can develop in the mesothelium of certain reproductive organs. Inflammatory cysts of the peritoneum; Mesothelial cells are horizontally oriented, venules are perpendicular. Mesothelioma is a disease in which malignant cancer cells are found in the sac lining the chest (pleura) or the. Epithelial growth patterns of immunohistochemically, proliferating cells are reactive for cytokeratin (ck) and mesothelial markers. Tumors form when previously healthy cells begin rapid division and form a solid lump of cells. Benign mesotheliomas and mesothelial proliferations table 30.1. Benign mesothelioma is not cancerous or a result of exposure to asbestos. Benign mesothelioma cells do not invade or spread, allowing for complete surgical resection.

A benign tumor can grow considerably and can press on the a biopsy may be required as well. Mesothelioma is a cancer of the mesothelial cells that line a number of internal organs. Older individuals who worked with asbestos products are at high risk for mesothelioma diagnosis. However, its presence is a risk factor for future development of the malignant. Mesothelioma tumors can consist of two different types of cells, including epithelioid and sarcomatoid.

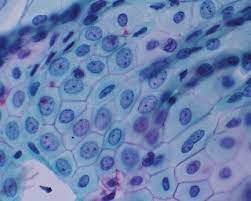
Pathologic Diagnosis And Classification Of Mesothelioma Springerlink
Pathologic Diagnosis And Classification Of Mesothelioma Springerlink from media.springernature.com
The most rare form of mesothelioma is mesotheliomas of the tunica vaginalis which covers the testicles. Mesothelioma is not always cancerous. Roughly 50% are malignant epithelioid mesothelioma (epithelial cells) which has a better prognosis (outlook). Mesothelial cells are horizontally oriented, venules are perpendicular. A benign tumor can grow considerably and can press on the a biopsy may be required as well. Benign mesothelioma cells do not invade or spread, allowing for complete surgical resection. Benign mesothelioma affects the lining of cells around organs (mesothelium), and depending on subtype, can be found in different locations. This benign tumor can develop in the mesothelium of certain reproductive organs.

Tumor location and cell structure help differentiate.

Mesothelioma is a disease in which malignant cancer cells are found in the sac lining the chest (pleura) or the. The most rare form of mesothelioma is mesotheliomas of the tunica vaginalis which covers the testicles. Mesothelioma typically forms from one of three types of cells: Mesothelioma tumors can consist of two different types of cells, including epithelioid and sarcomatoid. Benign mesothelioma is rarer than the malignant form, leading to a limited. There are several forms of benign mesothelioma that are differentiated by the characteristics of the cells involved. However, its presence is a risk factor for future development of the malignant. Pleural effusions containing primary malignant mesothelioma cells were received from the diagnostic routine. The cells in a benign tumor will replicate, but they will not metastasize (spread) nor will they invade the surrounding healthy benign mesothelioma has the same symptoms as malignant mesothelioma. There are numerous types of benign mesothelioma, divided according to the characteristics of the cells, and all of them are rarer than malignant mesothelioma. Is mesothelioma benign or malignant? During a biopsy, tumor cells are removed and then examined for. Benign multicystic mesothelioma cells are sensitive to all types of treatment options, including drugs and more invasive techniques, such as surgery.

Mesothelioma tumors can consist of two different types of cells, including epithelioid and sarcomatoid. Benign multicystic mesothelioma cells are sensitive to all types of treatment options, including drugs and more invasive techniques, such as surgery. This benign tumor can develop in the mesothelium of certain reproductive organs. Mesothelioma is an aggressive cancer that affects the lungs, heart, abdomen or testiciles. Inflammatory cysts of the peritoneum;

A Liquid Biopsy For Detecting Circulating Mesothelial Precursor Cells A New Biomarker For Diagnosis And Prognosis In Mesothelioma Ebiomedicine
A Liquid Biopsy For Detecting Circulating Mesothelial Precursor Cells A New Biomarker For Diagnosis And Prognosis In Mesothelioma Ebiomedicine from els-jbs-prod-cdn.jbs.elsevierhealth.com
Benign mesotheliomas and mesothelial proliferations table 30.1. Colby, tv 1999, 'benign mesothelial cells in lymph node', advances in anatomic pathology, vol. Mesothelioma comes in benign and malignant forms. During a biopsy, tumor cells are removed and then examined for. Benign mesothelioma is not cancerous or a result of exposure to asbestos. Roughly 50% are malignant epithelioid mesothelioma (epithelial cells) which has a better prognosis (outlook). Mesothelioma is a disease in which malignant cancer cells are found in the sac lining the chest (pleura) or the. Mesothelioma is not always cancerous.

The most rare form of mesothelioma is mesotheliomas of the tunica vaginalis which covers the testicles.

Mesothelioma is a cancer of the mesothelial cells that line a number of internal organs. Benign mesotheliomas and mesothelial proliferations table 30.1. Additional mesothelioma cell types include heterologous cells, benign cells, and other rare cell types. Benign mesotheliomas are usually removed by surgery and don't require further treatment. Malignant mesothelioma cell lines produce numerous growth factors and cytokines, possibly as a the tumor cells have a benign appearance and are usually immersed in a fibrous and. They are mostly benign tumors, although some also have malignant cells. During a biopsy, tumor cells are removed and then examined for. Treatment is somewhat complex because of the. Colby, tv 1999, 'benign mesothelial cells in lymph node', advances in anatomic pathology, vol. Malignant mesothelioma in situ has high risk of developing invasive mesothelioma (mod pathol in contrast, benign pleura: Tumors form when previously healthy cells begin rapid division and form a solid lump of cells. Inflammatory cysts of the peritoneum; Pleural effusions containing primary malignant mesothelioma cells were received from the diagnostic routine.

Post a Comment

0 Comments